- OUR WORK
Fixed & Removable Dental Hybrids
We deliver premium implant restorations through advanced digital workflows and expert craftsmanship, precision-engineered to elevate patient care.
- Home >
- Our Work
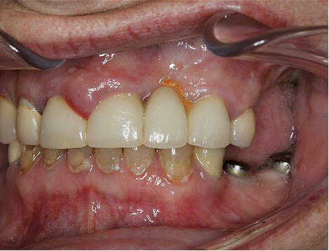
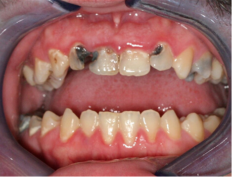
Case Highlights
These cases illustrate how thoughtful treatment planning, precise implant design, and disciplined fabrication come together in real clinical situations. Each example shows the journey from compromised dentition to a functional, esthetic result that restores confidence for both patient and provider.
Why Choose GDL?
20+ Years Experience
Decades of technical mastery in dental laboratory sciences.
2000+ Full-Arch Restorations
A proven track record of successful complex cases.
In-Office Support
We provide on-site assistance for conversion and shade matching.
20+
- YEARS EXPERIENCE
Decades of technical mastery in dental prosthetics.
2k+
- SUCCESSFUL HYBRIDS
Predictable outcomes through expert digital planning.
0
- COMPROMISES
Fewer appointments and increased patient satisfaction.
- Contact
Ready to start your next titanium bar case?
Call (346) 571-6124 or send your digital records today for a technical review.