Contact Details
Phone Number
(346) 571-6124
Email Address
admin@gooddentallab.com
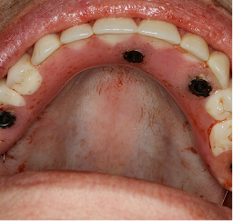
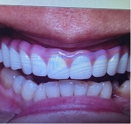
Complete Dentures
GDL provides complete dentures designed to restore form, function, and esthetics for fully edentulous patients. We consider ridge anatomy, vertical dimension, phonetics, and facial support to create prostheses that are both comfortable and esthetically appropriate.pmc.ncbi.nlm.nih
While implant‑supported options often deliver superior stability and function, well‑made conventional dentures remain an important solution for many patients due to cost, medical considerations, or personal preference. Our goal is to give you a predictable denture that can serve as a definitive solution or a stepping‑stone toward future implant therapy.pmc.ncbi.nlm.nih+1
Key benefits
- Thoughtful tooth selection and arrangement to support lips, cheeks, and natural smile lines.pmc.ncbi.nlm.nih
- Balanced occlusal schemes to enhance stability and comfort during function.
- Careful attention to extensions and borders to improve retention.
- Option to coordinate with future implant planning so dentures can be converted or used as surgical guides.
- Clear protocols for try‑in, adjustments, and relines.
See the Work Our Lab Has Done for Our Clients
Frequently Asked Questions
1. How many appointments do you typically require for complete dentures?
Most cases follow a sequence of preliminary impressions, final impressions, jaw relations, try‑in, and delivery. We can adapt schedules for urgent cases if records are available.
2. Can these dentures be used later as templates for implant‑supported restorations?
Yes. Well‑designed dentures can be duplicated or modified into radiographic or surgical guides to assist in implant planning.
3. How do you manage patients with severe ridge resorption?
For highly resorbed ridges, we may recommend implant‑assisted solutions or specific design modifications. We are happy to review records and suggest options.
- Contact
Need a dependable denture solution or a foundation for future implants?
Send your edentulous case to GDL and we’ll help you determine the most appropriate prosthetic plan.